CT Scan in Dubai
Looking for precise diagnostic imaging to support your health journey?
At DMDC, we understand the importance of accuracy and reliability when it comes to your medical care. Our CT scan in Dubai is tailored to deliver detailed, accurate results, helping with effective diagnosis and treatment planning.
Using advanced technology and a dedicated team of skilled professionals, our CT scan center in Dubai ensures a seamless experience focused on your comfort and well-being. Trust DMDC for advanced diagnostic imaging that prioritizes your health every step of the way.
What is a CT Scan?
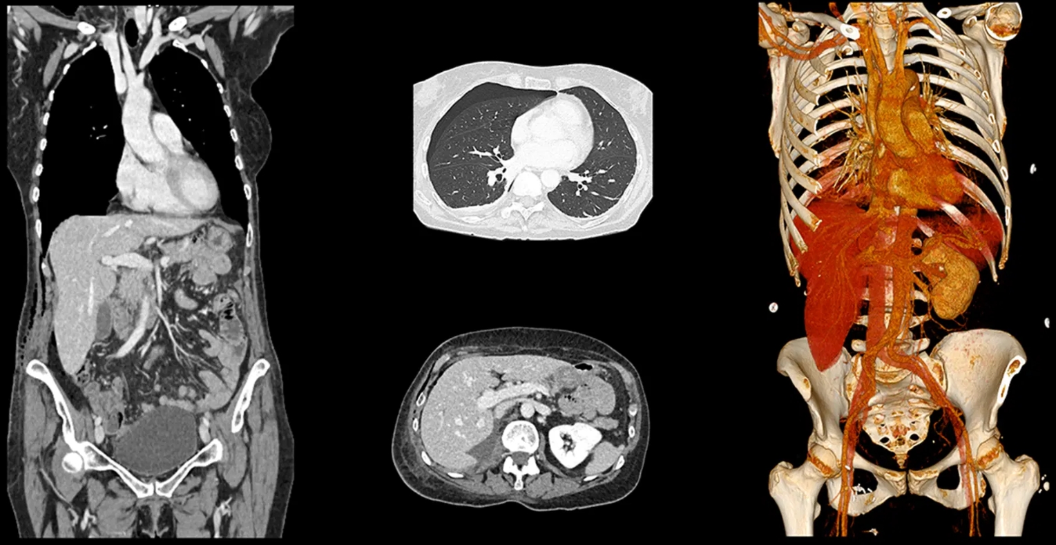
A Computed Tomography (CT) scan is an advanced imaging technique that uses X-ray technology to provide detailed cross-sectional images of the body.
These images allow healthcare professionals to visualize internal organs, blood vessels, bone and soft tissues in great detail, making them a valuable diagnostic tool for identifying various conditions and injuries.
Why are CT Scans Done?
- Diagnose medical conditions and diseases such as Cancers , Infections , Tumors , Masses or Cysts in the Brain , Lungs , Abdomen , Pelvis , Blood vessels , Bone and Soft tissues.
- Find the exact location of Blood clots , Tumors , infection or masses in the Brain , Lungs , Abdomen and Blood vessels for targeted treatment.
- Detect internal bleeding and injuries from accidents or emergencies.
- Accurately identify bone fractures and other skeletal injuries, even in complex cases.
- Aid in planning surgeries, biopsies, and radiation therapy by providing detailed imaging.
- Track the progression of diseases like cancer, heart disease, and liver conditions to guide ongoing treatment.
- Evaluate the effectiveness of treatments, such as cancer therapies, to adjust care as needed.

What are the Benefits of CT Scan in Dubai?
- High-Quality Detailed Images: CT scans provide clear and detailed images of internal organs, soft tissues, bones, and blood vessels, making them superior to standard X-rays for diagnosing complex conditions.
- Non-Invasive: CT Scans are non-invasive and generally quick, usually taking only a few minutes to complete.
- 3D Visualization: CT scans can create 3D images, enabling doctors to better visualize complex structures and plan surgeries or treatments more precisely.
- Versatile: CT scan can detect various diseases and conditions involving all parts of the body , i.e Brain , Lungs , Abdomen , Pelvis , blood vessels , extremities , bones and soft tissues.
How to Prepare for a CT Scan in Dubai?
The radiologist may ask you to remove some or all of your clothing and any metallic items (such as jewelry) and change into a hospital gown. Additionally, you might be instructed to avoid eating or drinking for several hours before your scan.
For certain CT scans, a contrast dye will be used to highlight specific areas of your body, such as blood vessels, intestines, and other structures.

What Happens During a CT Scan?
The duration of a CT scan depends on the area of your body being scanned, with the procedure taking anywhere from a few seconds to around 30 minutes. During the scan, you’ll lie on a table that slides into the doughnut-shaped CT scanner.
The table moves you through the scanner while the X-ray tube and detectors rotate around your body, capturing multiple images in thin slices.
You may hear whirring and buzzing sounds during the process and will be instructed to stay completely still, as movement can cause the images to blur. At times, you may also be asked to hold your breath. Once the scan is complete, the table will move you back out of the scanner.
The images are saved electronically and interpreted by a radiologist, who sends a report to your doctor within an hour.
Why Choose DMDC for CT Scan in Dubai?
Choosing the right radiology imaging diagnostic center is essential for receiving accurate diagnoses and timely care. At Deira City Medical Diagnostic Center (DMDC), we prioritize providing exceptional radiology services to ensure you receive the best possible care.
CT scan procedure , imaging and Reporting is performed by our Specialist Radiologists with minimal intervention from technicians to ensure top notch , fast and exceptionally accurate reports , ensuring prompt medical treatment.
- Fast, Accurate Reports: DMDC provides highly detailed reports with a quick turnaround, often delivering results within 30 minutes to 1 hour, ensuring prompt diagnosis and treatment.
- Expert Radiologists and Technologists: With highly trained professionals, DMDC guarantees precise diagnoses and efficient service with same-day report delivery.
- Friendly and Efficient Staff: From booking your appointment to completing your scan, our team is dedicated to making your experience seamless and stress-free.
- Competitive Pricing:DMDC provides some of the affordable CT scan prices in Dubai, providing exceptional value for your healthcare needs.
DMDC is known not only for its exceptional service but also for its commitment to delivering the highest quality care. For more information or to book your appointment, contact DMDC today and experience our expert radiology services tailored to your needs.