OPG (Dental X-Ray)
Dental X-Ray Dubai at Deira Medical Diagnostic Center: Overview
A glimpse beneath the surface often reveals the true story. In the world of dentistry, this truth lies within the intricate network of your teeth and jawbones.
When it comes to diagnosing dental issues with precision, an Orthopantomogram (OPG), commonly known as a dental X-Ray, plays a pivotal role. This advanced imaging technique provides a comprehensive, panoramic view of your entire mouth, including teeth, jawbones, and surrounding structures, enabling dentists to detect problems such as cavities, impacted teeth, gum disease, or jaw abnormalities with unmatched accuracy.
At Deira Medical Diagnostic Center (DMDC), we offer OPG X-Ray in Dubai, combining cutting-edge technology with a patient-centered approach to deliver quick, reliable results, ensuring your dental care journey is both seamless and effective.
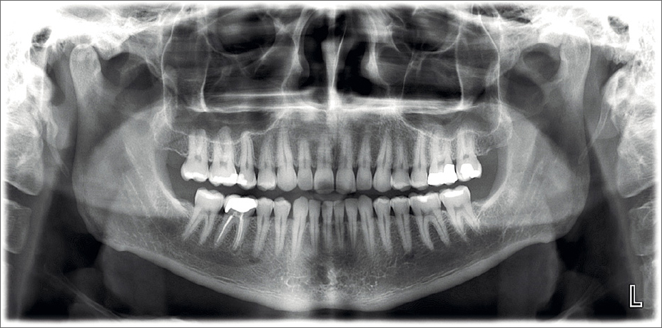
What is an OPG (Dental X-Ray)?
An OPG, or panoramic dental X-Ray, creates a two-dimensional image of the entire oral cavity.
Unlike traditional X-Rays that only focus on specific areas, an OPG captures a broad view, including:
- Teeth and their nerves
- Upper and lower jawbones
- Temporomandibular joints (TMJ)
- Sinuses
- Surrounding oral structures
This comprehensive imaging is painless, quick, and non-invasive, making it a preferred choice for both patients and dentists.

Why is an OPG necessary?
An OPG X-Ray in Dubai is a valuable diagnostic tool for dentists to:
- Assess wisdom teeth: It helps identify the position, size, and potential for complications with wisdom teeth, such as impaction or damage to surrounding teeth or nerves.
- Detect cavities: While not as effective as individual tooth X-rays for detecting small cavities, an OPG can reveal larger cavities and hidden decay.
- Evaluate jawbone conditions: It helps diagnose conditions like cysts, tumors, and bone loss, which can be crucial for early intervention and treatment.
- Assess the extent of dental injuries: In cases of trauma, an OPG can help evaluate the extent of damage to teeth and jawbones.
- Plan for dental implants: It helps assess the quality and quantity of bone available for implant placement and distance from underlying nerves.
- Monitor the progress of orthodontic treatment: It allows dentists to track the movement of teeth during orthodontic treatment in relation to braces and aligners.
How does an OPG work?
During an OPG, you stand in front of the machine while it rotates around your head, capturing a series of images that are then combined to form a single panoramic picture. The radiation exposure from an OPG is minimal and considered safe for most individuals.
Benefits of OPG X-ray in Dubai
OPG X-Ray has multiple benefits like:
- Non-Invasive and Painless: The procedure involves no pain, is comfortable, and does not require any invasive techniques.
- Quick Results: The scan takes just a few minutes, delivering high-quality images promptly.
- Comprehensive View: An OPG offers a broader perspective compared to traditional dental X-rays, covering all oral structures.
- Reduced Radiation Exposure: Modern OPG machines use minimal radiation, ensuring patient safety.
- Versatility: Suitable for diagnosing a wide range of dental issues, from minor cavities to complex jaw conditions.

OPG X-ray Cost in Dubai
The cost of an OPG X-Ray in Dubai can vary depending on several factors, including:
- The clinic or diagnostic center: Reputable clinics with advanced technology may charge slightly higher fees.
- The location of the clinic: Clinics in prime locations may have higher overhead costs, which can be reflected in the pricing.
- Any additional services: Some clinics may offer packages that include image interpretation and consultation with a dentist.
Best Dental X-Ray Dubai: Why Choose Deira Medical Diagnostic Center?
At DMDC, we combine advanced technology with patient-focused care to provide exceptional diagnostic services.
OPG procedure , imaging and Reporting is performed by our Specialist Radiologists with minimal intervention from technicians to ensure top notch , fast and exceptionally accurate reports , ensuring prompt medical treatment.
Here’s why patients trust us for their OPG X-Rays in Dubai:
- State-of-the-Art Equipment: We use the latest OPG technology to ensure precise imaging and reduced radiation exposure.
- Experienced Team: Our skilled radiologists and dentists are dedicated to rendering a safe and stress-free experience.
- Affordable Pricing: We offer transparent and competitive rates, making high-quality dental diagnostics accessible to everyone.
- Convenient Location: Located in the heart of Dubai, we are easily accessible for residents and visitors alike.
- Fast Results: Our efficient workflow ensures that your OPG results are ready in no time, allowing for prompt treatment planning.